Loading...
Loading...
Loading...
Abrimos: Lun - Vie : 12:00 md - 6:30 pm | Sab 9:00 am - 12:00 md

info@clinicaartedental.com

(+507)-6941-1522

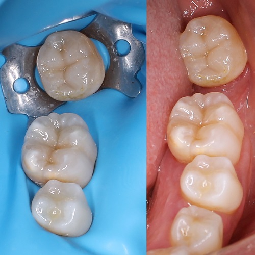
Casos Clínicos

Resturaciones

.

Etapa 1
clinica dental en chiriqui
Etapa 2
clinica dental en chiriqui
Etapa 3
clinica dental en chiriqui
Etapa 4
Cambio de restauración, de amalgama a resina. Video gracias al @DrAbdomFora YouTube
Casos Clínicos

Ortodoncia

.

Etapa 1
clinica dental en chiriqui
Etapa 2
clinica dental en chiriqui
Etapa 3
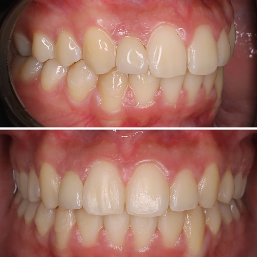
Casos Clínicos

Diseño de Sonrisa

.

Antes | Despues

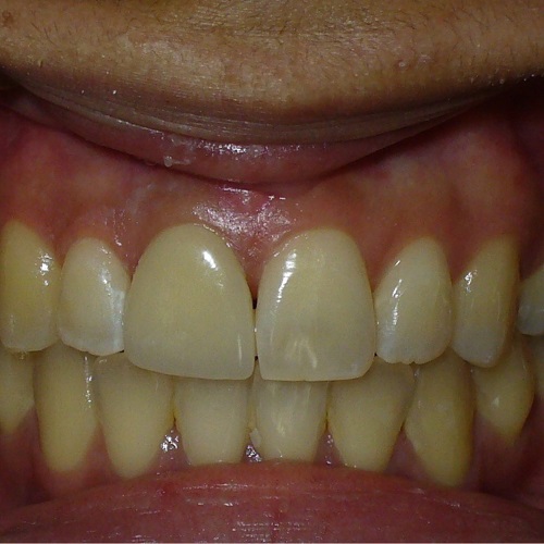
Caso #2

Etapa 1
clinica dental en chiriqui
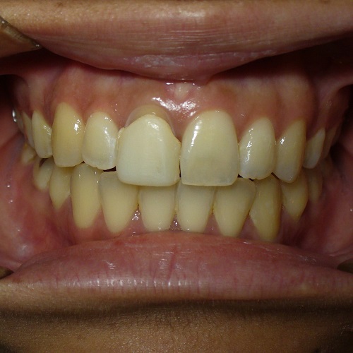
Etapa 2
clinica dental en chiriqui
Etapa 3
Etapa 4
Casos Clínicos

Implante

.

Contactanos
Estamos ubicados
Avenida 3ra Oeste y Calle G Sur, a lado de Vanceguros, Ciudad de David
Correo
info@clinicadeartedental.com
Whatsapp
+507-6941-1522

© Clínica de Arte Dental. Derechos Reservados.

Diseñado por Pier Baker
6241-5717